Dr. Salem's Smile Gallery

Before and After Photos of Actual Patients of Dr. Salem

MINI-SMILE MAKEOVER:



4 PORCELAIN VENEERS TO FIX A PATIENT'S BOTHERSOME ASYMMETRICAL SMILE


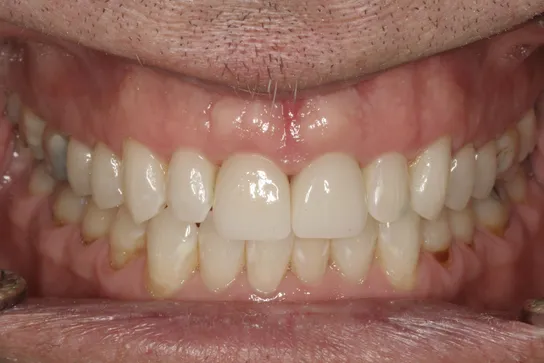
BLEACHING FOLLOWED BY PORCELAIN VENEERS OVER 2 FRONT INCISORS


FULL PORCELAIN CROWNS


DIASTEMA CLOSURE


IMPLANT DENTISTRY


COSMETIC CROWNS


VENEERS


TREATING WORN DENTITION


TREATING TRAUMA WITH IMPLANTS & CROWNS



MINI-MAKEOVER


CERAMIC CROWNS


CROWNS FOR 4 FRONT TEETH


COSMETIC BONDING


COSMETIC BONDING TO MASK DARK TEETH


PORCELAIN VENEERS FOR TWO FRONT TEETH



                                                                                                             COSMETIC CROWN REPLACEMENT

                                                                            COSMETIC CROWN REPLACEMENT BEFORE      COSMETIC CROWN REPLACEMENT AFTER




Our Location

Office Hours

Monday:

8:00 AM-4:00 PM

Tuesday:

8:00 AM-4:00 PM

Wednesday:

8:00 AM-4:00 PM

Thursday:

8:00 AM-4:00 PM

Friday:

Closed

Saturday:

Closed

Sunday:

Closed